Air Polishing (Kavo, Germany)

Kavo Prophyflex 3 – Air Polishing

Prophyflex 3 delivers a controlled stream of fine powder particles to the tooth surface through water spray and compressed air. It helps to remove bacterial plaque and stains effectively compared to rotating brushed. This new methods are constantly sought for a more effective treatment which is both harmless and comfortable for the patient.


Stains and plaque
  • Discolouration from tea and coffee
  • Tobacco stains
  • Biofilm Removal
    Result: prevent caries, periodontitis and gingivitis


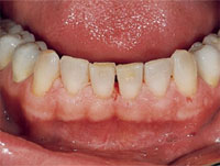
Before cleaning with Prophyflex

Before cleaning with Prophyflex

Fissure Sealing

  • Thorough cleaning of fissures before sealing
    Result: Reduction of the caries risk to a minimum


In prosthetics

  • Cleaning healthy teeth to adapt the colour of bridges, crowns, inlays and onlays
    Result: Perfect colour adaptation




In orthodontics
  • Cleaning braces
  • Preparation of surfaces before bonding
  • Removal of adhesive residue
    Result: Better treatment results, more satisfied patients


After cleaning with Prophyflex

After cleaning with Prophyflex

In conservative dentistry

  • Cleaning tooth surfaces when preparing for composite fillings and ceramic inlays.
    Result: Extension of the life of plastic and ceramic restorations


In aesthetic dentistry

  • Cleaning teeth before bleaching allows the natural tooth colour to be precisely determined
  • Preparing the tooth substance ensures that the bleaching agent will be optimally effective
    Result: Optimisation of the bleaching results